Practice Question
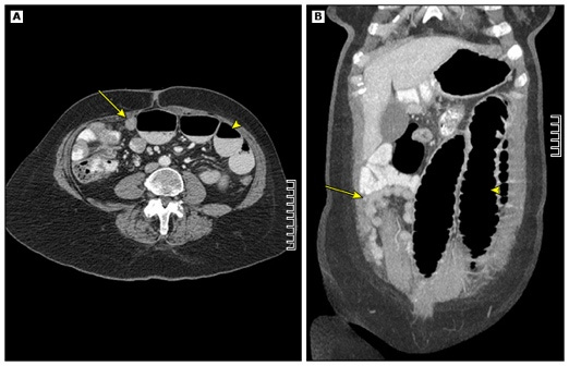
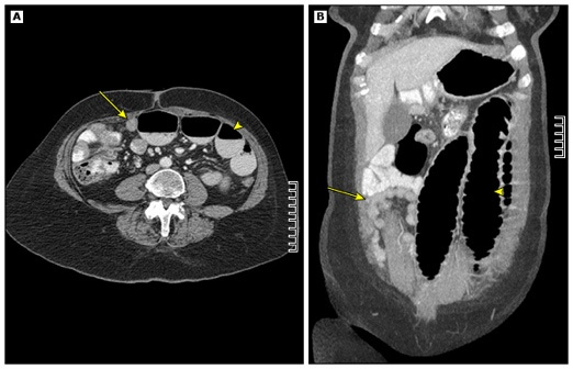
A 43 year old female with a history of type 2 diabetes, hyperlipidemia, and metastatic ovarian cancer presents to the emergency department with abdominal pain. She has had a week of constant nausea after her last chemotherapy infusion, and today began experiencing worsening nausea and new onset abdominal pain. Her vital signs show blood pressure 110/78 mm Hg, heart rate 104/min, respiratory rate 18/min, and oxygen saturation 97% on room air. Physical examination shows a distended abdomen that is diffusely tender to palpation. CT demonstrates the following findings.


